
Alzheimer’s disease (AD), also known as senile dementia and dementia, is a common neurodegenerative disease. Patients show progressive memory loss, mood swings, etc. and eventually lose self-care ability, which brings heavy burden to the society and families. The core pathogenesis of AD is the abnormal accumulation of amyloid beta (Aβ) in the brain due to excessive production and impaired clearance function. Based on this theory, the Affiliated Hospital of Zunyi Medical University set up a multidisciplinary team for AD treatment. Prof. YANG Xiaoyan from the Department of Neurology strictly controlled clinical standard. Prof. WANG Pan of the Department of Nuclear medicine and Doctor. LIU Junwei from the Department of Radiology innovatively performed examinations, such as PET-CT and MRI. And Prof. DENG Chengliang of the Department of Burn and Plastic Surgery independently performed a lymphaticovenous anastomosis (LVA) for deep cervical lymph vessels with fine supermicrosurgical techniques to drain Aβ in the brain through glymphatic system, so as to treat AD. The surgery had significant outcomes, marking a great breakthrough of AD treatment of the hospital and bringing confidence and hope to the large group of patients.
Improve clinical techniques and break treatment bottleneck
The Departments of Neurology, Burn and Plastic Surgery, and Anesthesia of the Affiliated Hospital of Zunyi Medical University are all national clinical key specialties. The patient in this case was selected by Prof. YANG Xiaoyan of the Department of Neurology in person and admitted to the Department of Burn and Plastic Surgery. PET-CT, MRI and other examinations were performed preoperatively. The surgery was operated by Prof. DENG Chengliang of the Department of Burn and Plastic Surgery. He accurately exposed the lymph vessels during the surgery, performed an anastomosis under microscope, and completed the LVA surgery independently, while Prof. WANG Haiying of the Department of Anesthesia continuously checked on the patient’s condition. The surgery was greatly effective, which marks a new breakthrough of AD treatment of the hospital.

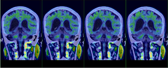
Preoperative precise diagnosis with PET-CT

Intraoperative fine maneuver by the Director of the Department of Burn and Plastic Surgery

Postoperative evaluation by Prof. YANG Xiaoyan of the Department of Neurology
Emphasize basic research and make scientific breakthroughs
The team of Prof. YU Changyin, an expert of the Department of Neurology of the Affiliated Hospital of Zunyi Medical University, has been focusing on basic research on AD. They have been working on the research of peripheral clearance of Aβ to reduce AD incidence and slow down AD progression, and successively received funding from the National Natural Science Foundation of China (NSFC) in 2024. By now, the hospital has obtained the NSFC funding for two research projects in cognitive impairment field.
The Affiliated Hospital of Zunyi Medical University has developed a multidisciplinary pattern for AD treatment, integrating prevention, medication and surgery, and achieved initial results. The team will further integrate basic and clinical research, explore more effective treatment based on scientific findings, and bring a brighter future for AD patients.
