
Recently, Bone and Soft Tissue Tumor Subspecialty Group of the Department of Orthopedic Trauma of Nanfang Hospital successfully completed a difficult limb salvage surgery on osteosarcoma around the knee joint after eight hours. The patient was safely discharged from the hospital.
Case Introduction
The patient is a 19-year-old boy. When he visited the Department of Orthopedic Trauma of Nanfang Hospital, he complained the pain in his left leg. The X-ray examination showed that the tumor had invaded more than half length of his left tibia, and particularly, even invaded the articular surface of tibia, which was a rare situation in osteosarcoma. In this case, amputation is a common solution. However, both the patient himself and his mother wanted to keep his leg. After a thorough communication with the patient and his family, we decided to go on a standard treatment protocol - neoadjuvant chemotherapy + surgery + postoperative chemotherapy.
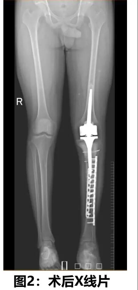
After two rounds of preoperative neoadjuvant chemotherapy and one week of preoperative preparation, the surgery which was led by Dr. Yu Bin, Head of the Department of Orthopedic Trauma of Nanfang Hospital was performed by the Bone Tumor Subspecialty Group in five steps - "left tibia tumor bone resection + liquid nitrogen for cryotherapy treatment + removed tumor bone replantation + tumorous type knee joint prosthetic replacement + dual plate internal fixation of tibia". After eight hours, the surgery was completed smoothly. Twenty days after the surgery, the patient was discharged from the hospital. He will receive further comprehensive treatment in the next step.


Osteosarcoma Introduction
01
What is Osteosarcoma?
Osteosarcoma, commonly known as "bone cancer", is a primary malignant tumor that often occurs in children and teens. It poses a serious threat to their lives and often brings devastating damage to their families.
02
How to Treat Osteosarcoma
The standard treatment protocol for osteosarcoma includes measures such as preoperative chemotherapy, surgery and postoperative chemotherapy and so on. It can prolong patients' lifespan to some extent, but the patient’s 5-year survival rate currently is considered to be around 60%, which is far from enough for children and teens. On the basis of the existing international standard treatment techniques, we innovatively combine those techniques with the argon helium cryoablation on the treatment of osteosarcoma, which gives the patients a new hope to life.
Liquid nitrogen inactivation and replantation of autologous bone graft means removing the tumor bone and replacing it on the surface of the knee joint after a series of deactivating treatments, and finally fixing the tumor bone within the in situ plate. This technology has been used in the medical community for more than 60 years, and has many advantages, for example, having no rejection problems, ensuring osteoinductive growth factor, fast healing and low cost. Kanazawa University Hospital in Japan, which is an internationally well-known hospital in the field of bone tumor, has been using this technology for nearly 20 years and has achieved very favorable outcomes. But at present this technology is less adopted in China, thus we don’t have much experience in using it.
03
Before Surgery What Else Can Be Done Besides Chemotherapy
The current international standard treatment protocol for osteosarcoma includes preoperative chemotherapy (neoadjuvant chemotherapy), surgery, and postoperative chemotherapy. It usually takes about two months to undergo preoperative chemotherapy. If the efficacy of preoperative chemotherapy is not obvious, the tumor may become more aggressive where the patient may have to undergo amputation, and the risk of systemic metastasis may increase as well.
During the preoperative chemotherapy period, early inactivation of the osteosarcoma tumor can be performed by percutaneous puncture cryoablation (minimally invasive), which can effectively kill the tumor locally and reduce the risk of systemic metastasis at the same time.
Bone Tumor Subspecialty Group of the Department of Orthopedic Trauma of Nanfang Hospital
After more than ten years of unremitting efforts and continuous exploration in the field of treating bone and soft tissue tumors by cryoablation, the Bone Tumor Subspecialty Group of the Department of Orthopedic Trauma of Nanfang Hospital has gradually developed a distinctive leading technology that treats bone and soft tissue tumors by cryoablation in a minimally invasive way in China. We integrated a number of orthopaedics techniques in this case and hoped the patient would get the best result both in tumor treatment and functional exercise.
